No.43/2, Middle School Rd, Vishweshwarapura, Shankarapura

Dr. Keerthana : 9740058477

Mon-Sat:

10:00am to 02:00pm
04:30pm to 08:00pm

Dr. VINAY :

Full Mouth Rehabilitation

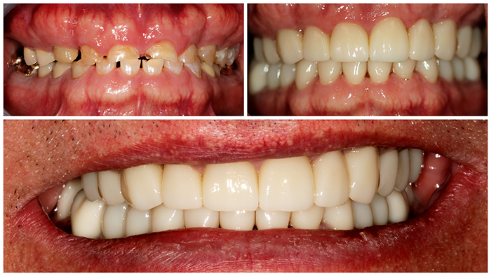
Full Mouth Rehabilitation in Chamrajpet

Awesome Image

Full mouth rehabilitation, also known as full mouth reconstruction or full mouth restoration, is a comprehensive dental treatment that aims to improve the health, function, and aesthetics of the entire mouth. It involves the use of various dental procedures and techniques to restore teeth, gums, and jaws to their optimal condition.

A full mouth rehabilitation may include a combination of procedures such as:

  • 1.Dental implants: Dental implants are used to replace missing teeth or anchor a bridge or denture in place. They provide a stable foundation for restorations and help to preserve jawbone density.
  • 2.Crowns and bridges: Crowns are used to cover and protect damaged or decayed teeth, while bridges are used to replace one or more missing teeth.
  • 3.Orthodontics: Orthodontic treatments such as braces or clear aligners are used to correct misaligned teeth, improve bite function, and create a more aesthetically pleasing smile.
  • 4.Gum disease treatment: Gum disease can lead to tooth loss and damage to the surrounding bone and tissue. Treatment may involve scaling and root planing, gum grafting, or other procedures to restore gum health.
  • 5.TMJ/TMD treatment: TMJ/TMD refers to disorders of the temporomandibular joint, which can cause pain and dysfunction in the jaw. Treatment may involve oral appliances, physical therapy, or other interventions to alleviate symptoms.
  • 6.Cosmetic dentistry: Cosmetic procedures such as teeth whitening, veneers, or bonding may be used to improve the appearance of the teeth and enhance overall facial aesthetics. We are the best dental clinic in Chamrajpet and we give the best full mouth rehabilitation in Chamrajpet.
Book Appointment

Opening Hours

  • Mon to Sat: 10.00am to 02.00pm
    04:30pm to 08:00pm

Quick Contact

  • No.43/2, Middle School Rd, Vishweshwarapura, Shankarapura Bengaluru, Karnataka 560004
  • vkmaxfacs@gmail.com
  • +91 9742062877